Scroll down and use the arrows to view the different case studies from the beginning to the successful end of the patients treatment.

TMJ = Temporomandibular Joint = Jaw Joint

The human jaw joint is a complex joint in the body as it not only hinges in hinge bite but also translates (moves out of the centre of the joint in a straight or curvilinear path) during left, right and forward bites.  It relies on the TMJ disc located between the cup and head of the jaw joint which is composed of extremely hard fibrocartilage with different thicknesses.  The front of the disc is about 2 mm thick and attaches to the lateral pterygoid muscle. The centre of the disc it is about 1 mm thick and this is where the head (condyle) of the jaw joint rests in hinge bite. The back of the disc is about 3 mm thick and it attaches to the posterior elastic ligament.  This elastic ligament is responsible for relocating the disc back into the centre of the jaw joint following translation in left, right and forward bites.  The position of the teeth is important in maintaining the head and disc in the centre of the jaw joint.  If in hinge bite for example only the last molar tooth makes contact first (called a premature contact in the diagram) then this will throw out the lower jaw off centre and the position of the disc. When the disc is off centre it is called a displaced disc. 

Diagram of a normal condyle, disc, and fossa assembly in a dental structure, highlighting the posterior ligament, lateral pterygoid muscle, and elastic bilaminar zone. Labels indicate premature contact in hinge occlusion at age 14. Created by Dr. Michael Darveniza.
Diagram of an anterior displaced disc with reduction in the jaw, showing teeth and ligaments.

Full Occlusal Therapy for a Temporomandibular Disorder (TMD) 

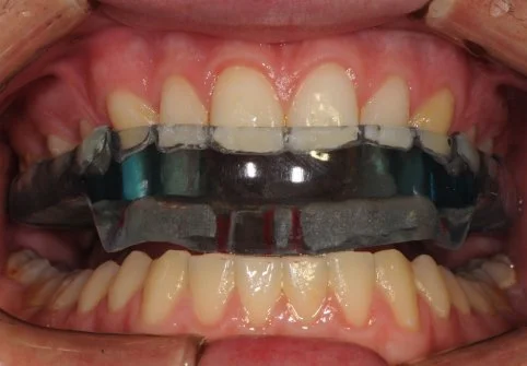
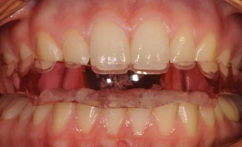
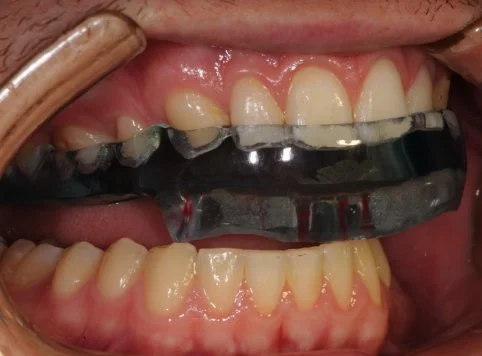
A TMJ Disorder patient requires conservative management with “Full Occlusal Therapy” in 3 stages along with concurrent Full Counselling (refer to journal papers 19 and 20).  In other words, we need to get the disc back into the centre of the joint where it belongs starting with Full Counselling and then a Fully Protective Occlusal Splint (Stage 1).  This splint is made of acrylic resin (used for dentures) and can be made in clear resin but is usually coloured blue or pink to hide any future discolouration (as in the photos below). The splint usually fits the upper teeth and only one is required.

This diagram illustrates a disc that is displaced out of the socket and the elastic ligament is very stretched because the first contacting molar tooth in hinge bite has been avoided by the lower jaw.  The lower jaw has moved forward and to one side to escape this erroneously positioned tooth.  The result as displayed in this diagram shows all the teeth meshing to be able to now eat.  However, the head is no longer positioned in the centre of the jaw joint and the disc is displaced.  The patient now has a clicking disc and the beginning of a TMJ Disorder which is abbreviated TMD. 

Full Occlusal Therapy is sequential:

Stage 1 - Fully Protective Occlusal Splint - 4 SA’s over a 3 month period

Stage 2 - Occlusal equilibration - major OA then 2 fine tune adjustments over a 7 month period

Stage 3 - Bio-Designing Molar Guidance or Anterior Guidance or Orthodontics

with concurrent Full Counselling

Not all TMJ patients require all 3 stages as it depends on how unprotected their 4 bites of hinge, left, right and forward are after splint therapy.

INTRODUCTION TO OCCLUSAL SPLINTS

Stage 1 of Full Occlusal Therapy is Formal Fully Protective Occlusal Splint Therapy with case study

Stage 2 of Full Occlusal Therapy

             Occlusal Equilibration = Occlusal Adjustment = Bite Adjustment

Case Study

Stage 3 of Full Occlusal Therapy – Orthodontics or Anterior Guidance or Molar Guidance

After Bite Adjustment the key teeth that guide the lower jaw left, right and forward are often mal-positioned or worn away and need to be repositioned or built up.  These mal-positioned/worn teeth allow the lower jaw to skid around with cow like jaw movements which continue to stretch jaw joints resulting in TMJ and facial clenching muscle pains.  These teeth need to be bio-designed to form optimal tooth shapes to create protective left, right and forward bites.  The conservative first choice is to orthodontically reposition mal-positioned teeth. 

Many TMJ pain patients are not interested in doing years of orthodontic treatment and would prefer an instant Prosthodontic solution.  This generally involves building up teeth with composite resin overlays or crowns.

CASE STUDY 1

PROTECTIVE CROWNS FOR BIO-DESIGNING LEFT AND RIGHT JAW MOVEMENTS

CASE STUDY 2

PROTECTIVE COMPOSITE RESIN OVERLAYS FOR BIO-DESIGNING LEFT AND RIGHT JAW MOVEMENTS

Mission Statement

“As a dedicated experienced clinician my goal is to listen intently to patient’s concerns, issues and their dental requirements.  My examination involves a tactile appreciation of their symptoms and a visual inspection of their immediate dental concerns.  Dental problems that confront me I find a challenge to solve.  My approach involves addressing patient’s emotional requirements followed by my knowledge in engineering, design, material science and aesthetic dental science to problem solve in a holistic manner.  The fundamental requirements of conservative management are mandatory to conserve tooth structure, wherever possible, and to find the easiest and least expensive solution while not compromising longevity of dental restorations and prostheses.  In every instance creating a dental environment to minimise pain during dental procedures is paramount.  I look forward to helping you with your dental treatment to get the very best results performed in a light and cheerful manner.”

Yours sincerely,

Michael Darveniza   

Surfer riding a wave in a pool with cabanas in the background.
Surfer riding a wave in ocean with yellow surfboard

SURF ABU DHABI

March 2025